Premessa:
SISTEMA DI FIBRE PERIARTICOLARI
All'interno del labbro si possono trovare fibre collagene circonferenziali longitudinali che circondano la cavità glenoidea. Nelle vicinanze è presente un sistema di fibre periarticolari (PAFS), che rappresenta la struttura collagena che collega il collagene all'interno del labbro alle fibre di collagene delle molteplici strutture che si attaccano al labbro. Questo quadro fornisce un concetto utile per comprendere il meccanismo delle rotture e dei distacchi del labbro.
![]() |
![]() |
Grazie alle connessioni collagene tra il labbro glenoideo e i legamenti e i tendini gleno-omerali dei capi lunghi dei muscoli bicipite e tricipite brachiale, le forze di trazione esercitate su tali strutture possono essere trasferite al labbro stesso. Nello specifico, il PAFS funge da "tutore di tensione" in tutta l'articolazione gleno-omerale e una forza vettoriale composita posizionata su questa struttura può essere trasmessa al labbro, determinando infine uno strappo o un distacco . Tale forza che si verifica nella porzione anterosuperiore del labbro può causare una lacerazione o un distacco del labbro superiore, comprese le variazioni di una lesione SLAP. Nei pazienti con un'inserzione labrale del legamento gleno-omerale medio (MGHL) relativamente alta, più vicina all'inserzione labrale dell'SGHL, una forza vettoriale applicata al labbro superiore è di maggiore entità e può provocare un'anomalia labrale più estesa rispetto ai pazienti con un MGHL posizionato più inferiormente.
COME APPARE IN RM IL LABBRO GLENOIDEO
Essendo una struttura fibrocartilaginea attaccata al bordo glenoideo, il labbro normale mostra una bassa intensità di segnale in tutte le sequenze di imaging RM, sebbene nelle persone anziane, a causa della presenza di degenerazione del labbro, possa essere visibile un leggero "ingrigimento" del labbro. La tipica morfologia labrale normale è triangolare; tuttavia, il labbro normale è stato descritto anche come rotondo, piatto, tagliato, dentellato o assente.
![]() |
![]() |
Labbro normale. Le immagini qui sopra MRA T1 FS coronali (sinistra) e assiali (destra) in un paziente di 24 anni mostrano un labbro normale (frecce). H: Testa omerale, G: Glenoide.
Esamineremo l'anatomia del complesso capsulo-labrare partendo dal quadrante superiore.
TENDINE DEL BICIPITE e COMPLESSO BICIPITE-LABRALE
Sono stati descritti quattro tipi di inserzione del tendine del bicipite sulla porzione superiore del labbro. Questi tipi si distinguono per la proporzione di fibre del tendine del bicipite che si attaccano alla regione postero-superiore rispetto a quella antero-superiore del labbro . Nel tipo 1, l'intero tendine del bicipite si attacca al labbro postero-superiore. Nel tipo 2, la maggior parte delle fibre del tendine del bicipite si attaccano al labbro posterosuperiore con una piccola porzione di fibre che si attacca al labbro anterosuperiore. Nel tipo 3, porzioni uguali del tendine del bicipite si attaccano alle regioni posterosuperiore e anterosuperiore del labbro. Nel tipo 4, la maggior parte delle fibre del tendine del bicipite si attaccano al labbro anterosuperiore e solo una piccola porzione di fibre si attacca al labbro posterosuperiore.

Attacchi bicipite-labrali. I 4 tipi di attacco del tendine del bicipite alla porzione superiore del labbro sono raffigurati in questa illustrazione: (1) labbro posterosuperiore, (2) labbro posterosuperiore e una piccola porzione del labbro anterosuperiore, (3) porzioni uguali del labbro posterosuperiore e anterosuperiore , e (4) anterosuperiore e una piccola porzione del labbro posterosuperiore. Le inserzioni di tipo 1 e di tipo 2 sono i più comuni e si verificano in circa il 55% delle persone, mentre il tipo 3 si verifica nel 37% e il tipo 4 nell'8%.

qui sopra raffigurata in RM, sul piano coronale, l'inserzione tipo 2: la freccia indica il cercine glenoideo superiore; sopra al cercine la banda nera orizzontale rappresenta l'inserzione del tendine capo lungo del bicipite su tutto il cercine.
INTERVALLO DEI ROTATORI
La comprensione dell'anatomia dell'intervallo dei rotatori è importante anche per la valutazione completa delle strutture adiacenti ad un labbro superiore lacerato o distaccato. L’intervallo dei rotatori è lo spazio triangolare nella parte anterosuperiore della spalla attraverso il quale passano molteplici strutture capsulolegamentose e tendinee, che contribuiscono alla normale funzione biomeccanica della spalla. Il confine superiore dell'intervallo dei rotatori è delineato dal margine anteriore del tendine del sovraspinato, mentre il confine inferiore dell'intervallo è segnato dal margine superiore del tendine sottoscapolare e il processo coracoideo costituisce la base di questo intervallo. L'apice di questo intervallo si trova a livello del solco intertubercolare. La capsula articolare gleno-omerale, il legamento coraco-omerale, il legamento gleno-omerale superiore e il tendine del bicipite attraversano l'intervallo dei rotatori.

Intervallo dei rotatori. L'illustrazione mostra i confini dell'intervallo dei rotatori. CAL: legamento coracoacromiale, TRA: legamento trapezio, CON: legamento conoide, RI: intervallo dei rotatori, A/C: articolazione acromionclavicolare, CP: processo coracoideo, LHBT: tendine del capo lungo del bicipite, SGHL: legamento gleno-omerale superiore.
LEGAMENTI GLENO-OMERALI
![]() |
![]() |
Legamenti gleno-omerali. L'illustrazione sagittale (a sinistra) mostra SGHL (frecce), MGHL (punte di freccia) e la banda anteriore dell'IGHL (frecce tratteggiate). L'illustrazione anatomica coronale (a destra) raffigura questi stessi legamenti gleno-omerali, così come il fascicolo obliquo (FO), o legamento gleno-omerale a spirale, che si fonde lateralmente con il MGHL e il tendine sottoscapolare (SSC).
GLENO-OMERALE SUPERIORE (SGHL)
![]() |
![]() |
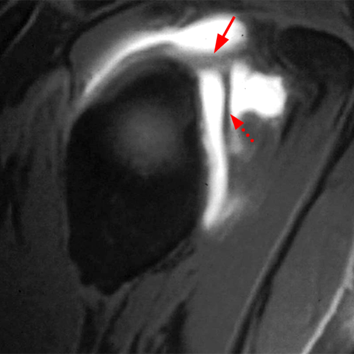
L'SGHL è costituito da fibre dirette e oblique, decorre dal labbro glenoideo e/o dal tubercolo sopraglenoideo in direzione laterale e si attacca alla fovea capitis della testa omerale, che è una piccola depressione della superficie articolare omerale appena sopra il piccola tuberosità. L'SGHL si attacca anche al solco bicipitale, alla parte superiore della piccola tuberosità e al tendine sottoscapolare, nonché al legamento trasverso dell'omero, contribuendo ulteriormente alla stabilità del tendine della testa lunga del bicipite. Esistono molte varianti dell'SGHL, tuttavia, con possibili inserzioni al tendine del bicipite stesso (sopra a sinistra in immagine assiale; freccia grossa SGHL, freccia piccola CLB) o alla porzione anteriore del labbro, oppure l'SGHL può presentarsi in comune con il legamento gleno-omerale medio ( sopra a destra immagine RM sagittale; freccia superiore SGHL).
LEGAMENTO GLENO-OMERALE MEDIO (MGHL)
Il MGHL è il legamento gleno-omerale più variabile per dimensioni e posizione. Questa struttura nasce dall'aspetto periferico superiore della cavità glenoidea, intima e possibilmente fondente con il legamento coraco-omerale, decorrendo verso il basso per attaccarsi alla piccola tuberosità. L'MGHL può attaccarsi direttamente alla porzione anteriore del labbro o al collo scapolare, quest'ultimo modello simula una capsula articolare spogliata quando studiato con imaging RM o artrografia MR (Figura 14). Per quanto riguarda le dimensioni, anche questa è variabile, apparendo sottile e simile a un velo in alcune persone e spessa o addirittura simile a una corda in altri. Di tutti i legamenti gleno-omerali, il MGHL è quello più spesso assente.
![]() |
![]() |
Questa origine del MGHL a sinistra origina dalla base del cercine anteriore, ma è molto più comune l'inserzione dal collo della glena (immagine assiale RM a destra) ove l'MGHL (frecce) deriva dal periostio scapolare anteriore (S), simulando l'aspetto dello stripping periostale.
LEGAMENTO GLENO-OMERALE INFERIORE (IGHL)
L'IGHL è paragonato ad un'amaca, che collega la glenoide inferiore e il labbro al collo omerale. Questa struttura è costituita da due ispessimenti focali, chiamati bande anteriore e posteriore, e da una sacca ascellare intermedia. Mentre la banda anteriore si attacca tipicamente alla posizione dalle ore 2 alle ore 4 sul bordo glenoideo e la banda posteriore si attacca tra la posizione alle ore 7 e alle ore 9, ci sono molte variazioni in questi punti di attacco. In alcuni casi, ad esempio, la banda anteriore si attacca molto in alto sul bordo glenoideo, nella regione di SGHL e MGHL, creando difficoltà diagnostiche nell'interpretazione dello studio di imaging RM. In altri casi la fascia posteriore è del tutto assente. La sacca ascellare è formata medialmente dal fascicolo obliquo e lateralmente dalla giunzione delle bande anteriore e posteriore.
![]() |
![]() |
IGHL. Sezione cadaverica coronale (a sinistra) e corrispondente immagini MRA coronali T1 FS dimostrano le bande anteriore (frecce) e posteriore (frecce tratteggiate) del IGHL, separato dalla sacca ascellare intermedia (frecce curve) e il rapporto della banda anteriore dell'IGHL con il fascicolo obliquo (punte di freccia). Si noti che entrambe le bande e la sacca ascellare hanno attacchi glenoidei e omerali.
A cura di Sergio De Bac











