Anatomia
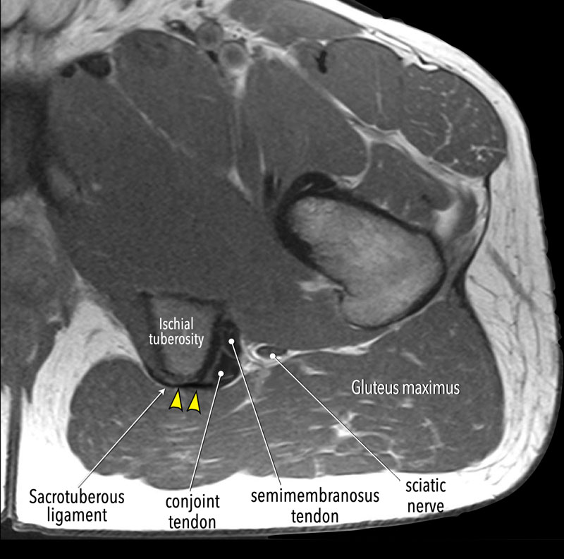
Il complesso del tendine del ginocchio è costituito da tre muscoli primari: il semimembranoso, il semitendinoso e il bicipite femorale (che ha teste sia lunghe che corte). Questi muscoli originano dall'aspetto posterolaterale della tuberosità ischiatica. In particolare, il bicipite femorale e il semitendinoso condividono un'origine tendinea congiunta, che si trova posteromedialmente all'origine del semimembranoso. L'impronta del tendine semimembranoso è posizionata leggermente anterolateralmente.


Il tendine congiunto misura circa 10 cm di lunghezza e corre tra il bicipite femorale, il capo lungo e il ventre del muscolo semitendinoso. Il capo lungo del bicipite femorale nasce dalla tuberosità ischiatica, appena distale al muscolo semitendinoso. Il bicipite femorale a testa corta ha un'origine più distale separata dalla linea aspera, una cresta sul femore posteriore. Queste origini distinte contribuiscono a diverse funzioni: la testa lunga è responsabile sia dell'estensione dell'anca che della flessione del ginocchio, mentre la testa corta flette principalmente il ginocchio.

Nella coscia posterolaterale distale, i muscoli bicipite femorale convergono e il tessuto connettivo denso che circonda ciascun muscolo (l'epimisio) si condensa per formare un'aponeurosi superficiale, con una componente incostante dell'aponeurosi che si estende tra i due ventri muscolari formando una giunzione a forma di T (Figura 5). Mentre l'anatomia della giunzione miotendinea del bicipite distale è alquanto variabile, in generale dopo che il lungo ventre muscolare termina, il capo corto diventa il componente dominante. Le componenti aponeurotiche del tendine distale del bicipite femorale si dividono quindi attorno al legamento collaterale laterale del ginocchio, con inserzioni multiple sul perone e sulla tibia laterale.
Il tendine semimembranoso è il più lungo dei tendini prossimali del tendine del ginocchio, misurando circa 30 cm di lunghezza. Mentre scende, si appiattisce e si trova anteriormente al ventre del muscolo semitendinoso, posteriormente al muscolo magnus adduttore e medialmente al nervo sciatico. Il muscolo semimembranoso prossimale ha origine come un piccolo muscolo di forma triangolare dall'aspetto mediale di questo tendine appiattito. Quando il muscolo semimembranoso si estende caudalmente, si allarga e ha la più grande area della sezione trasversale dei muscoli posteriori della coscia, consentendogli di generare la massima forza.6
Il tendine semimembranoso distale ha più inserzioni, anche lungo la tibia prossimale posteromediale e altri componenti dell'angolo posteromediale del ginocchio. Il muscolo semitendinoso termina nel terzo distale della coscia, formando un lungo tendine distale che si attacca all'aspetto anteromediale della tibia prossimale, contribuendo al complesso del piede anserina insieme ai tendini del gracile e del sartorio.
L'innervazione dei muscoli posteriori della coscia è la seguente: il semimembranoso, il semitendinoso e il capo lungo del bicipite femorale sono innervati dalla divisione tibiale del nervo sciatico, mentre il capo corto del bicipite femorale è innervato dalla divisione peroneale del nervo sciatico. Si ritiene che questa differenza nell'innervazione svolga un ruolo importante nei distinti contributi funzionali di ciascun muscolo, in particolare tra i capi lunghi e corti del bicipite femorale.
Criteri di classificazione
Le lesioni al tendine del ginocchio possono interessare varie strutture all'interno del gruppo muscolare, tra cui la fascia, la pancia muscolare, la giunzione miotendinea o il tendine. Il processo di guarigione di queste lesioni varia a seconda del tessuto coinvolto. I tendini in genere guariscono più lentamente della giunzione miotendinea e le lesioni miofasciali tendono a riprendersi più rapidamente. L'identificazione del tessuto specifico interessato è fondamentale per personalizzare le strategie di riabilitazione, poiché il trattamento differirà in base alla gravità e alla posizione della lesione.
Un'area particolarmente vulnerabile nell'unità muscolo-tendinea-ossea è la giunzione muscolotendinea, dove il muscolo passa al tendine. Questa giunzione svolge un ruolo cruciale nel trasferire la forza generata dalla contrazione muscolare al tendine e, in ultima analisi, all'osso, rendendolo particolarmente suscettibile allo sforzo durante i movimenti ad alta intensità.
Le lacerazioni e le avulsioni tendinee sono distinte dalle lesioni che colpiscono le giunzioni muscolotendinee o miofasciali. Le lesioni all'origine del tendine prossimale o all'inserzione distale derivano in genere da forze estreme o traumi diretti e spesso richiedono un intervento chirurgico per il recupero. La tendinosi degenerativa sottostante è un fattore predisponente nelle rotture dei tendini.
Inizialmente convalidato negli atleti di atletica leggera d'élite, BAMIC classifica le lesioni al tendine del ginocchio entro le prime 48 ore in cinque gradi distinti, con un'ulteriore sottoclassificazione basata sulla posizione anatomica. Questo sistema non solo evidenzia la gravità dell'infortunio, ma anche la sua posizione, fornendo un quadro critico per determinare i protocolli di riabilitazione e guidare le decisioni di ritorno al gioco. Questo approccio strutturato aiuta a ottimizzare i tempi di recupero e garantisce che gli atleti siano pronti a tornare in sicurezza al loro sport.
Il termine "lesione muscolare" è generalmente preferito a "stiramento muscolare" e per le lesioni classificate come gradi da 1 a 4, il termine "strappo" è comunemente usato. Le classificazioni anatomiche per le lesioni muscolari sono le seguenti:
- A = Miofasciale
- B = Muscolotendineo
- C = Intratendineo
In questo schema di classificazione, intratendinea (tipo "C") si riferisce a lesioni che colpiscono la porzione di un tendine o aponeurosi che si trova all'interno di un ventre muscolare, non i tendini liberi alle estremità del muscolo che si attaccano all'osso. Quando si descrivono le lesioni al tendine del ginocchio, il terzo prossimale si riferisce alla regione sopra il grande gluteo, mentre il terzo distale riguarda l'area sotto l'origine del capo corto del muscolo bicipite femorale.


Nel caso qui sopra la lesione (fig RM a destra) riguarda invece la componente libera prossimale del tendine congiunto, avulso dalla sua inserzione ossea. La lesione è classificabile come 4 grado. A sinistra l'immagine RM del tendine normale.
Viene da chiedersi a questo punto come classificare le lesioni parziali che coinvolgono la componente libera preteinserzionale di ogni tendine visto che nella classificazione Bamic la lesione tipo C includerebbe solo le lesioni intra-tendinee ma all'interno del muscolo.
La differenza tra la lesione b e c riguarda praticamente l'aspetto della giunzione miotendinea. Se la giunzione risulta interessata da edema senza distorsione/ondulazione rientra nel tipo b. Qualsiasi modificazione dell'aspetto morfologico della giunzione rientra naltresì nel tipo c. Vedi esempio sottostante. Fig a sinistra tipo b, figura a destra tipo c.

La classificazione BAMIC assegna voti in base all'entità anatomica della lesione sulle immagini della risonanza magnetica (Figura sottostante). Le lesioni di grado 0 non presentano anomalie della risonanza magnetica (ma reperti clinici di lesioni muscolari) o edema muscolare a chiazze. Per le lesioni di grado 1-3, la quantità di edema muscolare (sia come percentuale dell'area della sezione trasversale nelle immagini assiali che come lunghezza cranico-caudale nelle immagini dell'asse lungo) viene utilizzata per assegnare un grado. Inoltre, la lunghezza delle fibre interrotte (se presenti) e la presenza o l'assenza di tensione persa nell'unità miotendinea prossimale o distale alla lesione è un fattore aggiuntivo. Le lesioni di grado 4 mostrano una completa rottura dell'unità miotendinea.

articolo in fase di stesura
sdb
Commenti